
Laser autofocus, auto-pupil tracking and two different image modalities ensuring faster capture
Handheld, non-mydriatic fundus imaging with a 45° field of view

Handheld, non-mydriatic fundus imaging with a 45° field of view
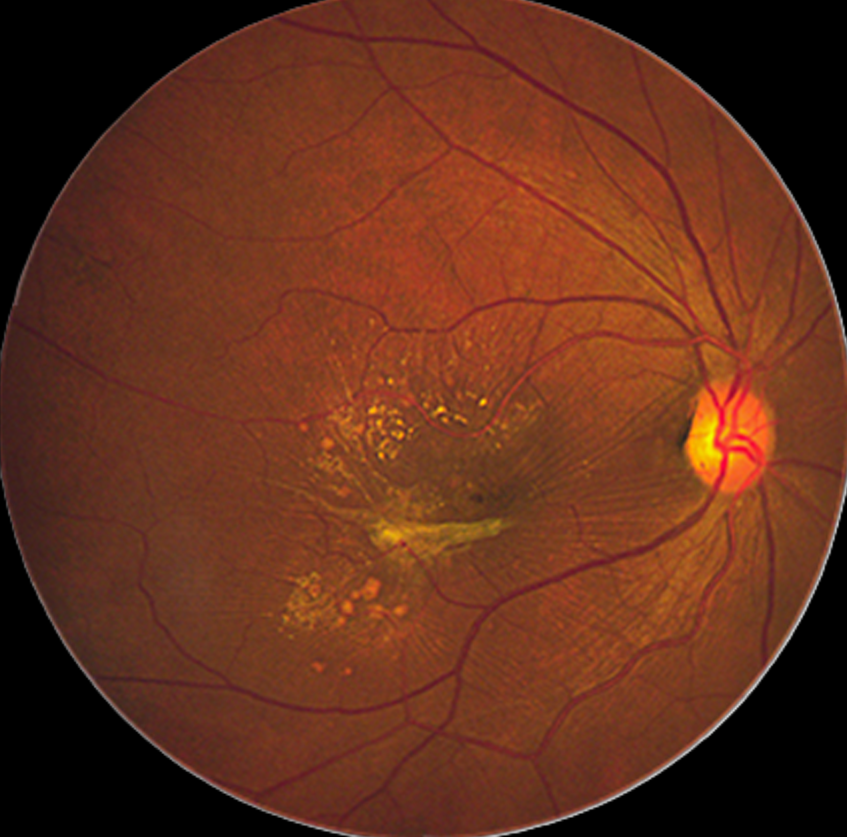
Handheld, non-mydriatic fundus imaging with a clear view of the posterior pole in a single shot.

Laser autofocus, auto-pupil tracking and two different image modalities ensuring faster capture

Designed for fast, high-volume screening
Automated image acquisition enables rapid retinal imaging with minimal training and reduced operator dependence

Advanced optics for comfortable, non-mydriatic imaging through pupils as small as 2.6mm- no dilation required enhancing patient comfort.
Designed to support retinal imaging in eyes with mild to moderate media opacity help maintaining reliable image quality during screening

Delivering crystal-clear, high contrast retinal images with a 45° field of view in single shot, and montage to reach the periphery.
Providing retinal images with 2 different imaging modalities




Automatically detects signs of referable DR in under 7 seconds—fully offline, enabling rapid screening at the point of care.Structured reports with visual heatmaps highlight regions of interest, aiding patient counselling and supporting clinical referral decisions
Know more: https://www.remidio.com/en-in/products/medios-dr
Secure cloud‑based tools enable image review, triage, and sharingSupporting faster referrals, collaborative care, and timely treatment decisions.

The Fundus on Phone is our time-tested solution for retinal imaging on the go.
It is non-mydriatic and offers the best in-class image quality. Annular illumination and carefully designed optics reproduce details effortlessly.

This is the best part - without a single dilating drop, a fundus image of 45° can be achieved. Its comfortable for the patient and enables the user to perform exams faster.

Just hold the device in place and choose an eye segment. The FOP will automatically capture an image for you - its as easy as that.

And if you want to mount it on your chinrest in the clinic, that is also an option with the FOP.

We know that diabetic retinopathy(DR) is one of the leading causes of preventable blindness. That is why we developed our own AI algorithm to automatically detect signs of DR in the retina. This makes it so much more easier to screen and refer for a DR patient.
Imaging modalities
Remidio InstaZ / 1000010041
Field of view
45° (Single Shot)
Minimum Pupil Size
2.6 mm
Imaging type
Non-Mydriatic
Image Modes
TrueColor, Red-Free Retinal Imaging
Image Resolution
Center: ≥60 lp/mm, Mid: ≥40 lp/mm Edge: ≥25 lp/mm
Every product we develop has a tremendous amount of input from clinicians and other healthcare workers. Their feedback helps us ensure a simple to use, high-quality imaging experience. FOP helped our customers to image more than ten million patients in the last five years.

“Remidio’s products are a good fit to have in terms of ease of use and operational cost. Keep up the good work with innovative products.”
Delia Cabrera DeBuc, Ph.D
Associate Professor
Bascom Palmer Eye Institute. Miami

“I've been closely following a few of the products developed by Remidio for the last decade. Some of their technology, especially the Fundus On Phone, is very actively used in our vision centers. This device helps us a lot in preventing needless blindness among our patients.”
Dr. R. Venkatesh
CMO-Aravind Eye Hospital, Pondicherry

“The IRIS - Remidio partnership in the US has had a powerful impact on healthcare providers seeking to close care gaps and create better outcomes for their patients with diabetes. The Remidio device is portable, and takes high quality images making it much easier to provide sight-saving exams to patients with diabetes, in primary care and at home..”
Steve Martin
CEO, Intelligent Retinal Imaging Systems (IRIS), Florida
If you have questions about the product or want to see a live demonstration, please let us know
Contact Us